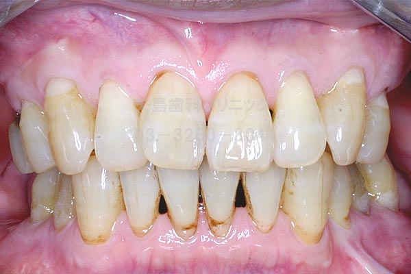
歯周病


14ページ
−14ページー