育生歯科 0422-22-0648
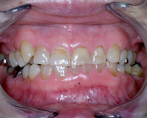
治療前
−1ページー