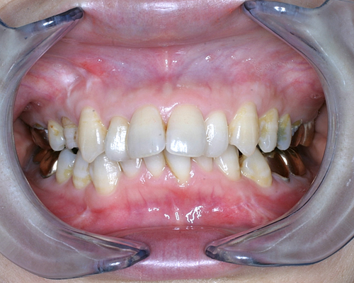
Before


メタルボンド
メタルボンドの排列
前歯の歯を矯正でなく補綴で歯並びを奇麗に治します。
それも、歯の神経を取らなくて治します。
(矯正ではこの様な治療は不可能だと思います。)
1ページ
−1ページー