メタルボンド
メタルボンドの排列
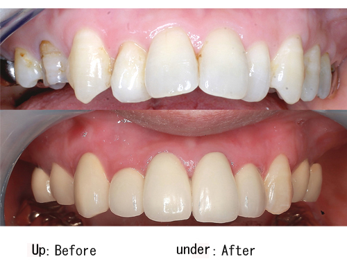
前歯の歯を矯正でなく補綴で歯並びを奇麗に治します。
それも、歯の神経を取らなくて治します。
どのようにしてこの様に奇麗に歯並びが治ったかわかりますか。
治す前と後では違うのです。
ここまでくると治療する先生の美的センスが問われます。
(矯正ではこの様な治療は不可能だと思います。それは不可能なポイント
がいくつかあるからです。)

3ページ
−3ページー