メタルボンド 育生歯科 0422-22-0648


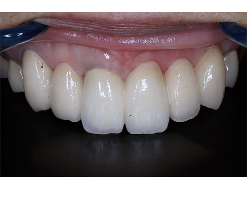
口元の美の追求です。歯の切端の美しさがなくてはいけません。(透明感)
メタルボンド12ページ
−12ページー