メタルボンド 育生歯科 0422-22-0648


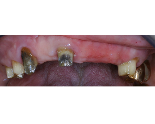
メタルボンド支台歯、歯槽堤は整形してあります8ページ
−8ページー